Instant Teeth Whitening with Eurolab Aesthetic
- Eurolab Aesthetic
- Aug 14, 2024
- 3 min read
Updated: Oct 9, 2025
Are you tired of hiding your smile due to yellow or stained teeth? At Eurolab Aesthetic, we offer a cutting-edge solution to transform your smile with our LED teeth whitening treatment. Learn why your teeth might be discolored, who benefits the most from our treatment, the technology behind it, and why booking an appointment with us is the best choice for achieving a dazzling smile.
Why Are My Teeth Yellow or Stained?
Teeth discoloration is a common issue and can occur due to various factors:
Diet and Drinks: Consuming coffee, tea, red wine, and certain fruits can stain your teeth over time.
Smoking: Tobacco use is a major contributor to tooth discoloration.
Aging: As we age, the enamel on our teeth wears down, revealing the yellow dentin beneath.
Medications: Some medications can affect the color of your teeth.
Poor Oral Hygiene: Inadequate brushing and flossing can lead to plaque buildup, causing stains.
Who Is Suitable for LED Instant Teeth Whitening?
LED teeth whitening is suitable for most people who are looking to brighten their smile quickly and effectively. It's ideal for individuals who:
Have Stained Teeth: Whether due to lifestyle choices or natural aging, if your teeth are stained, LED whitening can help.
Want Immediate Results: If you need a quick solution for a special occasion or just want to enhance your smile, LED whitening offers fast results.
Seek a Safe Treatment: Our non-peroxide whitening gel ensures a safer procedure, minimizing sensitivity and discomfort.
The Technology Behind Our LED Teeth Whitening
At Eurolab Aesthetic, we use advanced LED technology combined with a non-peroxide teeth whitening gel to achieve superior results. Here’s how it works:
LED Light Activation: Our LED light accelerates the whitening process by activating the whitening gel applied to your teeth. This light ensures a more effective and faster treatment compared to traditional methods.
Non-Peroxide Gel: We use a non-peroxide whitening gel which is gentler on your teeth and gums while still providing impressive results. This minimizes the risk of sensitivity and ensures a safer whitening experience.
How LED Teeth Whitening Differs from At-Home Kits
While at-home teeth whitening kits can be convenient, they often lack the potency and immediacy of professional treatments. Here’s why our LED teeth whitening stands out:
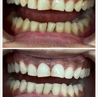
Stronger Results: Professional LED treatments can whiten your teeth up to 8 shades in just one session, offering more significant results than typical at-home kits.
Immediate Effect: You’ll see noticeable improvements immediately, which is not always the case with home products that may require several applications.
Expert Supervision: Our trained professionals ensure the treatment is applied correctly, maximizing effectiveness and minimizing risks.
Why Book an Appointment with Eurolab Aesthetic?
Choosing Eurolab Aesthetic for your teeth whitening needs comes with several advantages:
Instant Results: Achieve up to 8 shades whiter teeth in just one session.
Safe and Effective: Our use of non-peroxide gel and advanced LED technology ensures a safe, comfortable experience with visible results.
Professional Care: Our experienced staff will guide you through the process, ensuring your treatment is customized to your specific needs.
Don’t let stained or yellow teeth hold you back any longer. Experience the transformative power of LED teeth whitening at Eurolab Aesthetic and enjoy a brighter, more confident smile.
Book your appointment today and see the difference for yourself!
For more information or to schedule your session, visit our website here or contact us directly. Your radiant smile awaits!
Customer's review




















Comments