
TEETH WHITENING




BOOK AN APPOINTMENT TODAY

ABOUT SIGNATURE TEETH WHITENING
Our teeth whitening uses Pure Blue Light without any harmful UV radiation. This new innovation includes Intelligence Self Controlled Oral Temperature which ensure a comfortable procedure. Also, with the help of our non-peroxide gel to speed up the reaction of the whitening pharmacy.
Teeth whitening is becoming more and more popular, and with our professional service, you can trust us to safely and effectively transform your smile without any harmful side effects. Signature teeth whitening is suitable if you are facing Coffee stains / Tea stains / Yellowish teeth / Intrinsic stains / Extrinsic stains / Alcohol stains / Natural stains.

Gentle & Safe
The teeth whitening treatment is free from harsh chemicals like peroxide, making it gentler on teeth and gums, reducing sensitivity.

Suitable for
Sensitive Teeth
Ideal for customers with sensitive teeth or gums, as peroxide-free formulas are less likely to cause irritation or discomfort.

Natural Ingredients
Uses natural or non-toxic ingredients that are safe for long-term use and oral health.

Effective Whitening
Despite being peroxide-free, the treatment still delivers visible results, brightening teeth up to 8 shades.

Non-Abrasive
Unlike some treatments that wear down enamel, peroxide-free whitening is non-abrasive, helping to maintain the integrity of the teeth.
WHO ARE SUITABLE?
01
Extrinsic Stains - Consumption of coffee, tea, red wine, cola that have strong pigments
03
Poor Oral Hygiene -Inadequate brushing and flossing can lead to the buildup of plaque and tartar
02
Tobacco -
Stains from smoking or chewing tobacco, which can cause yellowing or brown discoloration.
04
Aging -
Over time, the enamel on the teeth wears down, and the dentin underneath, which is naturally yellow, becomes more visible
Feature | Eurolab's LED Teeth Whitening | Off-the-Shelf Kit |
|---|---|---|
Guarantee | Follow-up care | Limited or no guarantees |
Comfort | Monitored for comfort, minimized sensitivity | Varies, potential for increased sensitivity |
Convenience | Professional setting | Home use |
Duration of Results | Long-lasting results | Shorter duration |
LED Technology | Advanced LED technology with specific wavelength | Standard LED technology |
Ingredients | High-quality, professional-grade whitening agents | Varies, often less |
Customization | Personalized treatment plans | One-size-fits-all approach |
Safety | Supervised by professionals | Varies, may not be as strictly regulated |
Effectiveness | Instant result in 1 session | Varies, generally less effective |

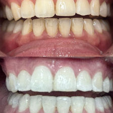
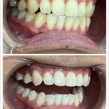
HAPPY SMILES
There may be no better way to communicate what we do than through customer's teeth whitening transformation.
FREQUENTLY ASKED QUESTIONS
- 01
- 02
- 03
- 04
- 05
- 06
CONTACT US
Address
Woodlands Outlet:
8 Woodlands Square, Solo 2, #04-15 Woods Square, Singapore 737713
Tampines Outlet:
9 Tampines Grande, Asia Green,
#01-16, Singapore 528735
Opening Hours
Mon - Fri
11 am – 8:30 pm
Sat
11 am – 6:30 pm
Sun / PH
By appointment basis
Contact (Call / Whatsapp)
Woodlands Outlet:
+65 8466 0415 / +65 8480 4505
Tampines Outlet:
+65 8466 1553













